|
Background: |
This gene is a member of the echinoderm microtubule associated protein-like family. The encoded WD-repeat protein may be involved in microtubule formation. Abnormal fusion of parts of this gene with portions of the anaplastic lymphoma receptor tyrosine kinase gene, which generates EML4-ALK fusion transcripts, is one of the primary mutations associated with non-small cell lung cancer. Alternative splicing of this gene results in two transcript variants. |
|
Applications: |
ELISA, IHC |
|
Name of antibody: |
EML4 |
|
Immunogen: |
Synthetic peptide of human EML4 |
|
Full name: |
echinoderm microtubule associated protein like 4 |
|
Synonyms: |
C2orf2; ELP120; EMAP-4; EMAPL4; ROPP120 |
|
SwissProt: |
Q9HC35 |
|
ELISA Recommended dilution: |
2000-5000 |
|
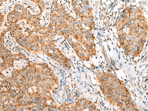
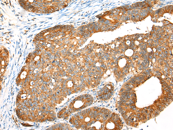
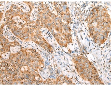
IHC positive control: |
Human gastric cancer and human esophagus cancer |
|
IHC Recommend dilution: |
25-100 |

購(gòu)物車
幫助
021-54845833/15800441009
