Background:
The protein encoded by this gene is a homodimeric integral membrane gelatinase belonging to the serine protease family. It is selectively expressed in reactive stromal fibroblasts of epithelial cancers, granulation tissue of healing wounds, and malignant cells of bone and soft tissue sarcomas. This protein is thought to be involved in the control of fibroblast growth or epithelial-mesenchymal interactions during development, tissue repair, and epithelial carcinogenesis.
Applications:
ELISA, IHC
Name of antibody:
FAP
Immunogen:
Fusion protein of human FAP
Full name:
fibroblast activation protein, alpha
Synonyms:
FAPA; DPPIV
SwissProt:
Q12884
ELISA Recommended dilution:
2000-5000
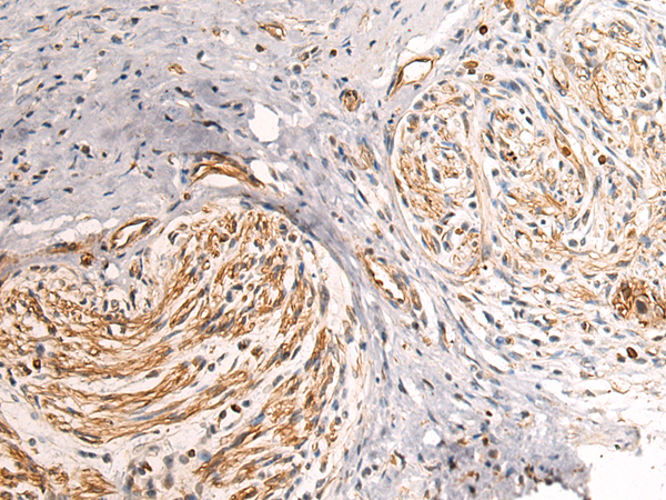
IHC positive control:
Human brain and Human thyroid cancer
IHC Recommend dilution:
50-200



購物車
幫助
021-54845833/15800441009
