中文名稱: 兔抗UGCG多克隆抗體
|
Background: |
Glycosphingolipids (GSLs) are a group of membrane components that contain lipid and sugar moieties. They are present in essentially all animal cells and are believed to have important roles in various cellular processes. UDP-glucose ceramide glucosyltransferase catalyzes the first glycosylation step in glycosphingolipid biosynthesis. The product, glucosylceramide, is the core structure of more than 300 GSLs. UGCG is widely expressed and transcription is upregulated during keratinocyte differentiation. |
|
Applications: |
ELISA, IHC |
|
Name of antibody: |
UGCG |
|
Immunogen: |
Fusion protein of human UGCG |
|
Full name: |
UDP-glucose ceramide glucosyltransferase |
|
Synonyms: |
GCS; GLCT1 |
|
SwissProt: |
Q16739 |
|
ELISA Recommended dilution: |
2000-5000 |
|
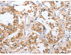
IHC positive control: |
Human thyroid cancer |
|
IHC Recommend dilution: |
50-200 |
購(gòu)物車
幫助
021-54845833/15800441009
