中文名稱: 兔抗ULK4多克隆抗體
|
Background: |
ULK4 (unc-51-like kinase 4) is a 1,275 amino acid protein that contains one protein kinase domain and one HEAT repeat and belongs to the Ser/Thr protein kinase family. Although containing what is thought to be a catalytically inactive domain, ULK4 may play a role in the ATP-dependent phosphorylation of target proteins. The gene encoding ULK4 maps to human chromosome 3, which houses over 1,100 genes, including a chemokine receptor (CKR) gene cluster and a variety of human cancer-related gene loci. |
|
Applications: |
ELISA, IHC |
|
Name of antibody: |
ULK4 |
|
Immunogen: |
Fusion protein of human ULK4 |
|
Full name: |
unc-51 like kinase 4 |
|
Synonyms: |
FAM7C1; REC01035 |
|
SwissProt: |
Q96C45 |
|
ELISA Recommended dilution: |
5000-10000 |
|
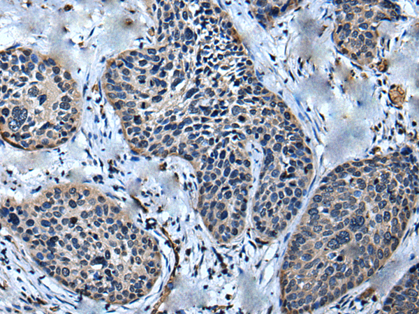
IHC positive control: |
Human cervical cancer |
|
IHC Recommend dilution: |
45-300 |

購物車
幫助
021-54845833/15800441009
