Background:
This gene encodes the heavy subunit of ferritin, the major intracellular iron storage protein in prokaryotes and eukaryotes. It is composed of 24 subunits of the heavy and light ferritin chains. Variation in ferritin subunit composition may affect the rates of iron uptake and release in different tissues. A major function of ferritin is the storage of iron in a soluble and nontoxic state. Defects in ferritin proteins are associated with several neurodegenerative diseases. This gene has multiple pseudogenes. Several alternatively spliced transcript variants have been observed, but their biological validity has not been determined.
Applications:
ELISA, IHC
Name of antibody:
FTH1
Immunogen:
Fusion protein of human FTH1
Full name:
ferritin heavy chain 1
Synonyms:
FHC; FTH; HFE5; PLIF; FTHL6; PIG15
SwissProt:
P02794
ELISA Recommended dilution:
5000-10000
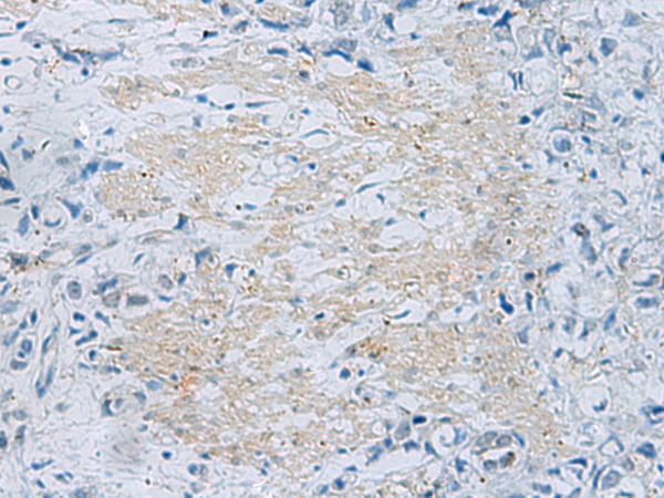
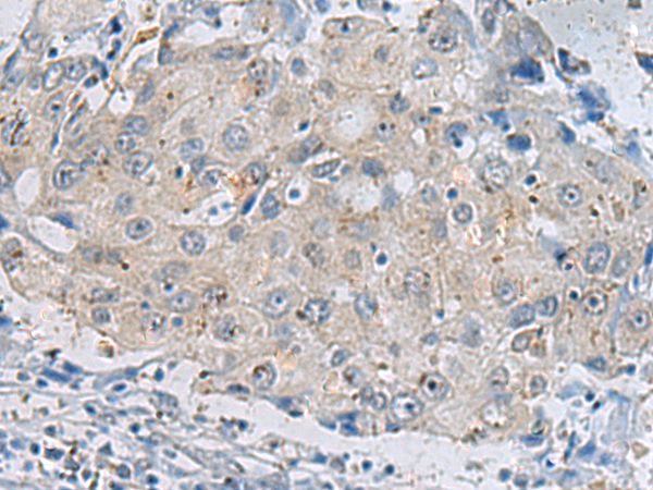
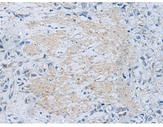
IHC positive control:
Human breast cancer and Human gastric cancer
IHC Recommend dilution:
100-200

購物車
幫助
021-54845833/15800441009
