中文名稱:兔抗ZNF449多克隆抗體
|
Background: |
This gene encodes a nuclear protein that likely functions as a transcription factor. The protein includes an N-terminal SCAN domain, and seven C2H2-type zinc finger motifs. |
|
Applications: |
ELISA, IHC |
|
Name of antibody: |
ZNF449 |
|
Immunogen: |
Full length fusion protein |
|
Full name: |
zinc finger protein 449 |
|
Synonyms: |
ZSCAN19 |
|
SwissProt: |
Q6P9G9 |
|
ELISA Recommended dilution: |
5000-10000 |
|
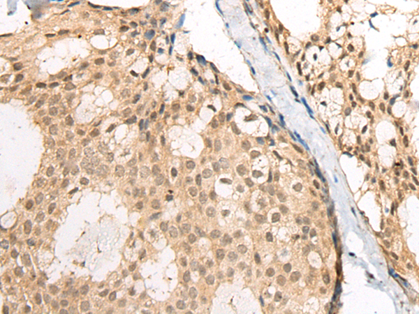
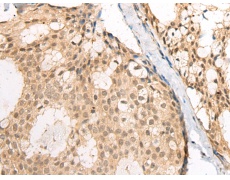
IHC positive control: |
Human liver cancer and human breast cancer |
|
IHC Recommend dilution: |
25-100 |

購(gòu)物車
幫助
021-54845833/15800441009
