|
Background: |
Small GTPase required for proper localization of RNA polymerase II and III (RNAPII and RNAPIII). May act at an RNAP assembly step prior to nuclear import. |
|
Applications: |
ELISA, IHC |
|
Name of antibody: |
GPN2 |
|
Immunogen: |
Fusion protein of human GPN2 |
|
Full name: |
GPN-loop GTPase 2 |
|
Synonyms: |
ATPBD1B |
|
SwissProt: |
Q9H9Y4 |
|
ELISA Recommended dilution: |
5000-10000 |
|
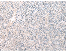
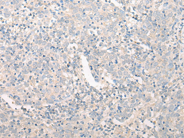
IHC positive control: |
Human cervical cancer and Human tonsil |
|
IHC Recommend dilution: |
20-100 |

購物車
幫助
021-54845833/15800441009
