|
Background: |
The protein may play a role in fertility regulation. It were significantly upregulated in individual bile samples from Cholangiocarcinoma patients by Western blotting and Immunohistochemistry, relative to normal tissues.It acts as a potential serum diagnostic biomarker for Cholangiocarcinoma. |
|
Applications: |
ELISA, WB, IHC |
|
Name of antibody: |
SPATA20 |
|
Immunogen: |
Synthetic peptide of human SPATA20 |
|
Full name: |
spermatogenesis associated 20 |
|
Synonyms: |
SSP411; Tisp78 |
|
SwissProt: |
Q8TB22 |
|
ELISA Recommended dilution: |
2000-10000 |
|
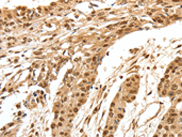
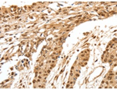
IHC positive control: |
Human esophagus cancer and Human thyroid cancer |
|
IHC Recommend dilution: |
100-300 |
|
WB Predicted band size: |
88 kDa |
|
WB Positive control: |
A549 and lncap cells, human seminoma tissue |
|
WB Recommended dilution: |
500-2000 |

購物車
幫助
021-54845833/15800441009
