|
Background: |
The protein encoded by this gene plays a key role in the acute regulation of steroid hormone synthesis by enhancing the conversion of cholesterol into pregnenolone. This protein permits the cleavage of cholesterol into pregnenolone by mediating the transport of cholesterol from the outer mitochondrial membrane to the inner mitochondrial membrane. Mutations in this gene are a cause of congenital lipoid adrenal hyperplasia (CLAH), also called lipoid CAH. A pseudogene of this gene is located on chromosome 13. |
|
Applications: |
ELISA, WB, IHC |
|
Name of antibody: |
STAR |
|
Immunogen: |
Fusion protein of human STAR |
|
Full name: |
steroidogenic acute regulatory protein |
|
Synonyms: |
STARD1 |
|
SwissProt: |
P49675 |
|
ELISA Recommended dilution: |
1000-2000 |
|
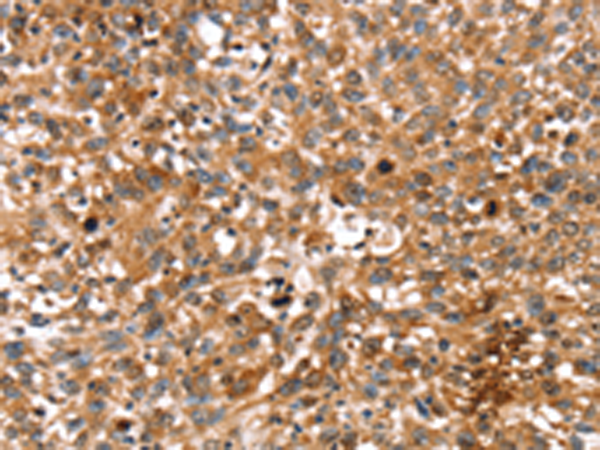
IHC positive control: |
Human lung cancer |
|
IHC Recommend dilution: |
25-100 |
|
WB Predicted band size: |
32 kDa |
|
WB Positive control: |
231 cells |
|
WB Recommended dilution: |
200-1000 |

購物車
幫助
021-54845833/15800441009
