|
Background: |
This gene encodes a member of the sulfotransferase family. The encoded protein is a brain-specific sulfotransferase believed to be involved in the metabolism of neurotransmitters. Polymorphisms in this gene may be associated with susceptibility to schizophrenia. |
|
Applications: |
ELISA, IHC |
|
Name of antibody: |
SULT4A1 |
|
Immunogen: |
Fusion protein of human SULT4A1 |
|
Full name: |
sulfotransferase family 4A member 1 |
|
Synonyms: |
NST; BRSTL1; SULTX3; BR-STL-1; DJ388M5.3; hBR-STL-1 |
|
SwissProt: |
Q9BR01 |
|
ELISA Recommended dilution: |
5000-10000 |
|
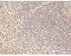
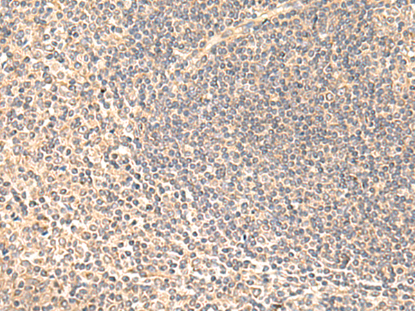
IHC positive control: |
Human tonsil |
|
IHC Recommend dilution: |
50-300 |
購物車
幫助
021-54845833/15800441009
