|
Background: |
Transcription factor which plays a key role in the Hippo signaling pathway, a pathway involved in organ size control and tumor suppression by restricting proliferation and promoting apoptosis. The core of this pathway is composed of a kinase cascade wherein MST1/MST2, in complex with its regulatory protein SAV1, phosphorylates and activates LATS1/2 in complex with its regulatory protein MOB1, which in turn phosphorylates and inactivates YAP1 oncoprotein and WWTR1/TAZ. Acts by mediating gene expression of YAP1 and WWTR1/TAZ, thereby regulating cell proliferation, migration and epithelial mesenchymal transition (EMT) induction. Binds to the SPH and GT-IIC 'enhansons' (5'-GTGGAATGT-3'). May be involved in the gene regulation of neural development. Binds to the M-CAT motif. |
|
Applications: |
ELISA, IHC |
|
Name of antibody: |
TEAD2 |
|
Immunogen: |
Fusion protein of human TEAD2 |
|
Full name: |
TEA domain transcription factor 2 |
|
Synonyms: |
ETF; TEF4; TEF-4; TEAD-2 |
|
SwissProt: |
Q15562 |
|
ELISA Recommended dilution: |
5000-10000 |
|
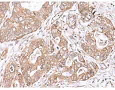
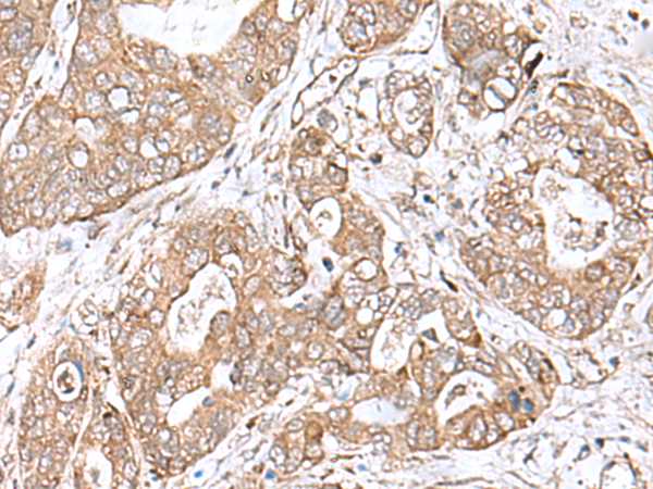
IHC positive control: |
Human gastric cancer |
|
IHC Recommend dilution: |
40-200 |
購物車
幫助
021-54845833/15800441009
