|
Background: |
This gene encodes an enzyme which catalyzes the biosynthesis of thiamine disphophate (vitamin B1) by hydrolysis of thiamine triphosphate. Alternative splicing results in multiple transcript variants. |
|
Applications: |
ELISA, IHC |
|
Name of antibody: |
THTPA |
|
Immunogen: |
Fusion protein of human THTPA |
|
Full name: |
thiamine triphosphatase |
|
Synonyms: |
THTP; THTPASE |
|
SwissProt: |
Q9BU02 |
|
ELISA Recommended dilution: |
5000-10000 |
|
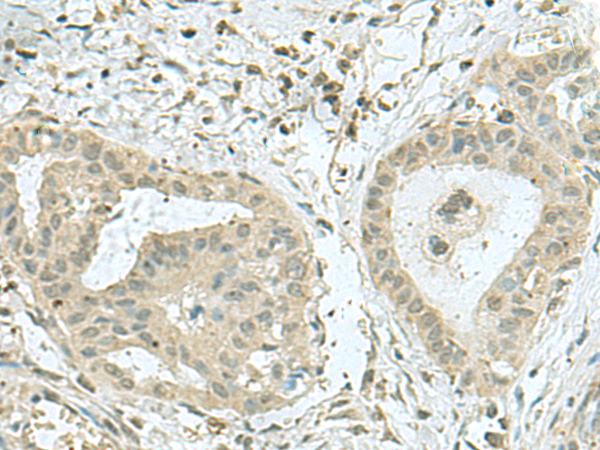
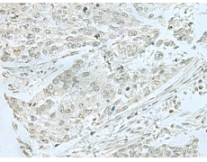
IHC positive control: |
Human thyroid cancer and Human lung cancer |
|
IHC Recommend dilution: |
40-200 |

購物車
幫助
021-54845833/15800441009
