|
Background: |
Plays a role in cilia formation and embryonic patterning. Requires for normal Sonic hedgehog (Shh) signaling in the neural tube and acts in combination with GLI2 and GLI3 to pattern ventral and intermediate neuronal cell types (By similarity). |
|
Applications: |
ELISA, IHC |
|
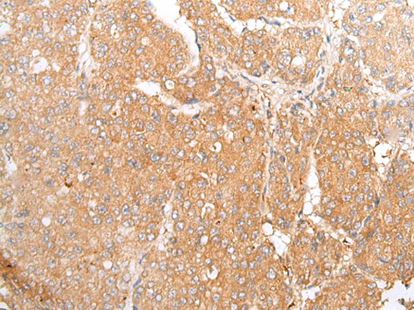
Name of antibody: |
TMEM107 |
|
Immunogen: |
Synthetic peptide of human TMEM107 |
|
Full name: |
transmembrane protein 107 |
|
Synonyms: |
GRVS638; PRO1268 |
|
SwissProt: |
Q6UX40 |
|
ELISA Recommended dilution: |
5000-10000 |
|
IHC positive control: |
Human liver cancer |
|
IHC Recommend dilution: |
25-100 |
購物車
幫助
021-54845833/15800441009
