|
Background: |
This translocase is involved in the import and insertion of hydrophobic membrane proteins from the cytoplasm into the mitochondrial inner membrane. The gene is mutated in Mohr-Tranebjaerg syndrome/Deafness Dystonia Syndrome (MTS/DDS) and it is postulated that MTS/DDS is a mitochondrial disease caused by a defective mitochondrial protein import system. Defects in this gene also cause Jensen syndrome; an X-linked disease with opticoacoustic nerve atrophy and muscle weakness. This protein, along with TIMM13, forms a 70 kDa heterohexamer. Alternative splicing results in multiple transcript variants encoding distinct isoforms. |
|
Applications: |
ELISA, IHC |
|
Name of antibody: |
TIMM8A |
|
Immunogen: |
Fusion protein of human TIMM8A |
|
Full name: |
translocase of inner mitochondrial membrane 8A |
|
Synonyms: |
DDP; MTS; DDP1; DFN1; TIM8 |
|
SwissProt: |
O60220 |
|
ELISA Recommended dilution: |
5000-10000 |
|
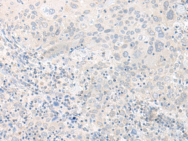
IHC positive control: |
Human cervical cancer |
|
IHC Recommend dilution: |
40-200 |
購物車
幫助
021-54845833/15800441009
