|
Background: |
FXC1, or TIMM10B, belongs to a family of evolutionarily conserved proteins that are organized in heterooligomeric complexes in the mitochondrial intermembrane space. These proteins mediate the import and insertion of hydrophobic membrane proteins into the mitochondrial inner membrane.[supplied by OMIM, Apr 2004] |
|
Applications: |
ELISA, IHC |
|
Name of antibody: |
TIMM10B |
|
Immunogen: |
Fusion protein of human TIMM10B |
|
Full name: |
translocase of inner mitochondrial membrane 10B |
|
Synonyms: |
FXC1; Tim9b; TIM10B |
|
SwissProt: |
Q9Y5J6 |
|
ELISA Recommended dilution: |
5000-10000 |
|
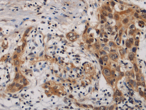
IHC positive control: |
Human esophagus cancer |
|
IHC Recommend dilution: |
100-300 |
購(gòu)物車
幫助
021-54845833/15800441009
