中文名稱:兔抗BBS12多克隆抗體
|
Background: |
The protein encoded by this gene is part of a complex that is involved in membrane trafficking. The encoded protein is a molecular chaperone that aids in protein folding upon ATP hydrolysis. This protein also plays a role in adipocyte differentiation. Defects in this gene are a cause of Bardet-Biedl syndrome type 12. Two transcript variants encoding the same protein have been found for this gene. |
|
Applications: |
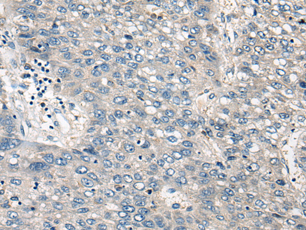
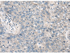
ELISA, IHC |
|
Name of antibody: |
BBS12 |
|
Immunogen: |
Synthetic peptide of human BBS12 |
|
Full name: |
Bardet-Biedl syndrome 12 |
|
Synonyms: |
C4orf24 |
|
SwissProt: |
Q6ZW61 |
|
ELISA Recommended dilution: |
5000-10000 |
|
IHC positive control: |
Human liver cancer |
|
IHC Recommend dilution: |
25-100 |

購(gòu)物車
幫助
021-54845833/15800441009
