中文名稱:兔抗BCAR1多克隆抗體
|
Background: |
BCAR1, or CAS, is an Src (MIM 190090) family kinase substrate involved in various cellular events, including migration, survival, transformation, and invasion. The molecular cloning of p130 Cas has shown it to represent a novel SH3 containing signaling molecule with a cluster of multiple putative SH2-binding motifs for v-Crk. By immunoprecipitation analysis, p130 Cas has been shown to be highly phosphorylated at tyrosine residues subsequent to either v-Src p60 or v-Crk-mediated transformation and to form stable complexes with both of these transforming proteins. p130 Cas behaves as an extremely potent substrate for protein tyrosine kinases and has been reported to relocate from the cytoplasm to cell membrane upon tyrosine phosphorylation. One proposed model is that the SH2 domain of v-Crk functions to activate c-Src kinase, which in turn phosphorylates p130 Cas. |
|
Applications: |
ELISA, WB, IHC |
|
Name of antibody: |
BCAR1 |
|
Immunogen: |
Synthetic peptide of human BCAR1 |
|
Full name: |
breast cancer anti-estrogen resistance 1 |
|
Synonyms: |
CAS; CAS1; CASS1; CRKAS; P130Cas |
|
SwissProt: |
P56945 |
|
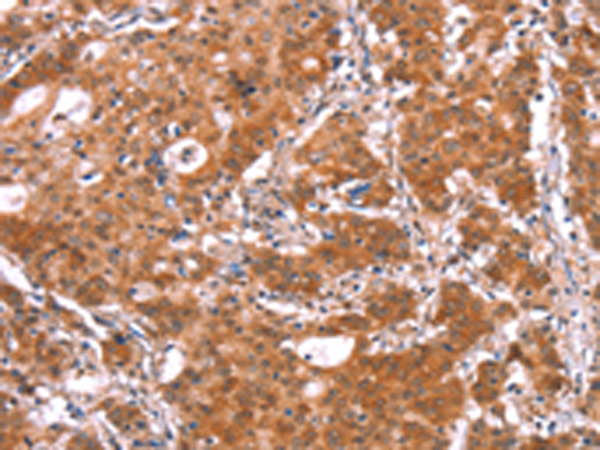
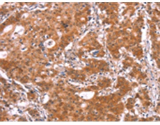
IHC positive control: |
Human gastric cancer and human thyroid cancer |
|
IHC Recommend dilution: |
25-100 |
|
WB Predicted band size: |
93 kDa |
|
WB Positive control: |
Hela, 231 and A431 cells |
|
WB Recommended dilution: |
200-1000 |


購物車
幫助
021-54845833/15800441009
