中文名稱:兔抗ZNF580多克隆抗體
|
Background: |
Involved in the regulation of endothelial cell proliferation and migration. Mediates H2O2-induced leukocyte chemotaxis by elevating interleukin-8 production and may play a role in inflammation. May be involved in transcriptional regulation. |
|
Applications: |
ELISA, IHC |
|
Name of antibody: |
ZNF580 |
|
Immunogen: |
Fusion protein of human ZNF580 |
|
Full name: |
zinc finger protein 580 |
|
SwissProt: |
Q9UK33 |
|
ELISA Recommended dilution: |
5000-10000 |
|
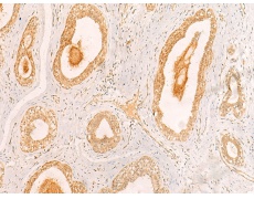
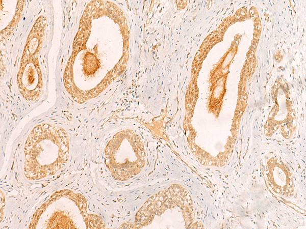
IHC positive control: |
Human breast cancer |
|
IHC Recommend dilution: |
30-150 |
購物車
幫助
021-54845833/15800441009
