|
Background: |
This gene encodes a member of the Ikaros family of zinc-finger proteins. Three members of this protein family (Ikaros, Aiolos and Helios) are hematopoietic-specific transcription factors involved in the regulation of lymphocyte development. This protein forms homo- or hetero-dimers with other Ikaros family members, and is thought to function predominantly in early hematopoietic development. Multiple transcript variants encoding different isoforms have been found for this gene, but the biological validity of some variants has not been determined. |
|
Applications: |
ELISA, WB, IHC |
|
Name of antibody: |
IKZF2 |
|
Immunogen: |
Fusion protein of human IKZF2 |
|
Full name: |
IKAROS family zinc finger 2 |
|
Synonyms: |
ANF1A2; HELIOS; ZNF1A2; ZNFN1A2 |
|
SwissProt: |
Q9UKS7 |
|
ELISA Recommended dilution: |
5000-10000 |
|
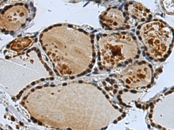
IHC positive control: |
Human thyroid cancer |
|
IHC Recommend dilution: |
100-300 |
|
WB Predicted band size: |
60 kDa |
|
WB Positive control: |
Human placenta tissue lysate |
|
WB Recommended dilution: |
200-1000 |


購(gòu)物車(chē)
幫助
021-54845833/15800441009
