|
Background: |
Members of the Ikaros (ZNFN1A1; MIM 603023) family of transcription factors, which includes Eos, are expressed in lymphocytes and are implicated in the control of lymphoid development. |
|
Applications: |
ELISA, IHC |
|
Name of antibody: |
IKZF4 |
|
Immunogen: |
Synthetic peptide of human IKZF4 |
|
Full name: |
IKAROS family zinc finger 4 (Eos) |
|
Synonyms: |
EOS; ZNFN1A4 |
|
SwissProt: |
Q9H2S9 |
|
ELISA Recommended dilution: |
2000-5000 |
|
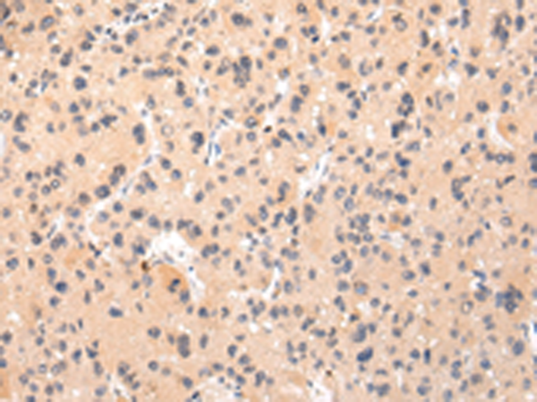
IHC positive control: |
Human liver cancer and Human gastric cancer |
|
IHC Recommend dilution: |
20-100 |
購(gòu)物車
幫助
021-54845833/15800441009
