中文名稱: 兔抗UBE2R2多克隆抗體
|
Background: |
Protein kinase CK2 is a ubiquitous and pleiotropic Ser/Thr protein kinase involved in cell growth and transformation. This gene encodes a protein similar to the E2 ubiquitin conjugating enzyme UBC3/CDC34. Studies suggest that CK2-dependent phosphorylation of this ubiquitin-conjugating enzyme functions by regulating beta-TrCP substrate recognition and induces its interaction with beta-TrCP, enhancing beta-catenin degradation. |
|
Applications: |
ELISA, IHC |
|
Name of antibody: |
UBE2R2 |
|
Immunogen: |
Fusion protein of human UBE2R2 |
|
Full name: |
ubiquitin conjugating enzyme E2 R2 |
|
Synonyms: |
UBC3B; CDC34B; E2-CDC34B |
|
SwissProt: |
Q712K3 |
|
ELISA Recommended dilution: |
5000-10000 |
|
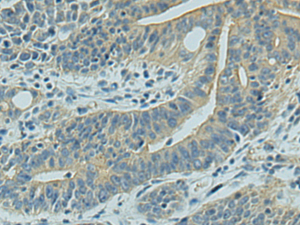
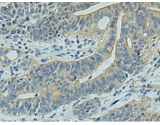
IHC positive control: |
Human gastric cancer and Human tonsil |
|
IHC Recommend dilution: |
150-300 |

購物車
幫助
021-54845833/15800441009
