|
Background: |
This locus encodes a sulfotransferase protein. The encoded enzyme catalyzes the sulfation of a nonreducing N-acetylglucosamine residue, and may play a role in biosynthesis of 6-sulfosialyl Lewis X antigen. |
|
Applications: |
ELISA, IHC |
|
Name of antibody: |
CHST2 |
|
Immunogen: |
Synthetic peptide of human CHST2 |
|
Full name: |
carbohydrate sulfotransferase 2 |
|
Synonyms: |
C6ST; GST2; GST-2; Gn6ST-1; HEL-S-75; glcNAc6ST-1 |
|
SwissProt: |
Q9Y4C5 |
|
ELISA Recommended dilution: |
5000-10000 |
|
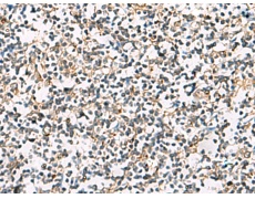
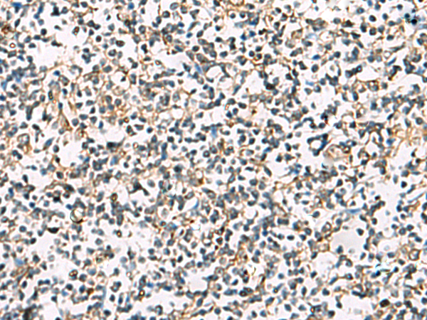
IHC positive control: |
Human tonsil |
|
IHC Recommend dilution: |
25-50 |
購物車
幫助
021-54845833/15800441009
