|
Background: |
This gene is a member of the multiple exostoses (EXT) family of glycosyltransferases, which function in the chain polymerization of heparan sulfate and heparin. The encoded protein harbors alpha 1,4- N-acetylglucosaminyltransferase activity, and is involved in chain elongation of heparan sulfate and possibly heparin. |
|
Applications: |
ELISA, IHC |
|
Name of antibody: |
EXTL1 |
|
Immunogen: |
Synthetic peptide of human EXTL1 |
|
Full name: |
exostosin-like glycosyltransferase 1 |
|
Synonyms: |
EXTL |
|
SwissProt: |
Q92935 |
|
ELISA Recommended dilution: |
1000-2000 |
|
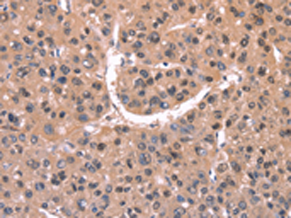
IHC positive control: |
Human liver cancer |
|
IHC Recommend dilution: |
25-100 |
購物車
幫助
021-54845833/15800441009
