|
Background: |
This gene encodes a single-pass membrane protein which functions as a glycosyltransferase. The encoded protein catalyzes the transfer of N-acetylglucosamine to glycosaminoglycan chains. This reaction is important in heparin and heparan sulfate synthesis. Alternative splicing results in the multiple transcript variants. |
|
Applications: |
ELISA, IHC |
|
Name of antibody: |
EXTL3 |
|
Immunogen: |
Fusion protein of human EXTL3 |
|
Full name: |
exostosin-like glycosyltransferase 3 |
|
Synonyms: |
RPR; BOTV; REGR; EXTR1; EXTL1L |
|
SwissProt: |
O43909 |
|
ELISA Recommended dilution: |
2000-5000 |
|
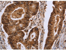
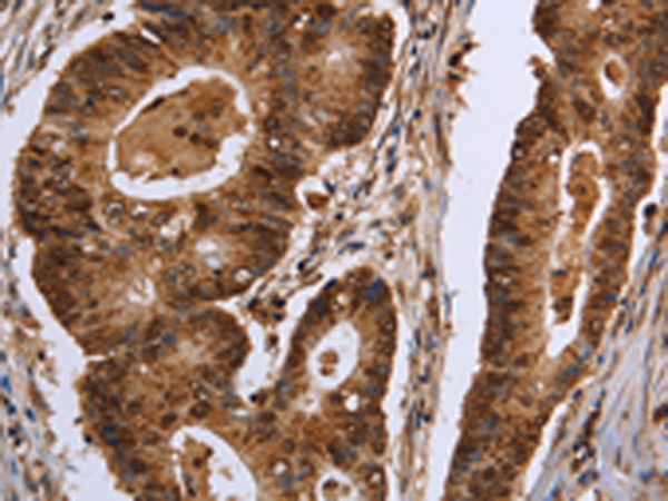
IHC positive control: |
Human colon cancer and human brain |
|
IHC Recommend dilution: |
50-200 |
購物車
幫助
021-54845833/15800441009
