|
Background: |
Fibulin 1 is a secreted glycoprotein that becomes incorporated into a fibrillar extracellular matrix. Calcium-binding is apparently required to mediate its binding to laminin and nidogen. It mediates platelet adhesion via binding fibrinogen. Four splice variants which differ in the 3' end have been identified. Each variant encodes a different isoform, but no functional distinctions have been identified among the four variants. |
|
Applications: |
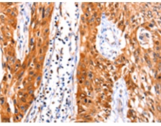
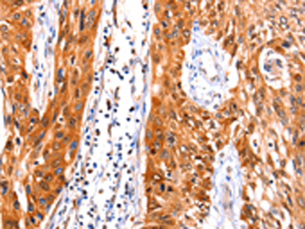
ELISA, IHC |
|
Name of antibody: |
FBLN1 |
|
Immunogen: |
Synthetic peptide of human FBLN1 |
|
Full name: |
fibulin 1 |
|
Synonyms: |
FBLN, FIBL1 |
|
SwissProt: |
P23142 |
|
ELISA Recommended dilution: |
1000-10000 |
|
IHC positive control: |
Human esophagus cancer and Human liver cancer |
|
IHC Recommend dilution: |
100-300 |
購物車
幫助
021-54845833/15800441009
