|
Background: |
The protein encoded by this gene belongs to the G protein-coupled receptor family, which contain 7 transmembrane domains and transduce extracellular signals through heterotrimeric G proteins. This is an orphan receptor, which displays significant level of constitutive activity. Association analysis shows preliminary evidence for the involvement of this gene in susceptibility to bipolar affective disorder and schizophrenia. Alternatively spliced transcript variants have been found for this gene. |
|
Applications: |
ELISA, IHC |
|
Name of antibody: |
GPR78 |
|
Immunogen: |
Synthetic peptide of human GPR78 |
|
Full name: |
G protein-coupled receptor 78 |
|
SwissProt: |
Q96P69 |
|
ELISA Recommended dilution: |
5000-10000 |
|
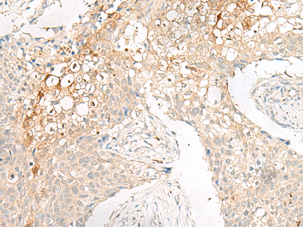
IHC positive control: |
Human lung cancer |
|
IHC Recommend dilution: |
20-100 |

購物車
幫助
021-54845833/15800441009
