|
Background: |
This gene encodes a protein that belongs to the glutamate-gated ionic channel family. Glutamate functions as the major excitatory neurotransmitter in the central nervous system through activation of ligand-gated ion channels and G protein-coupled membrane receptors. The protein encoded by this gene forms functional heteromeric kainate-preferring ionic channels with the subunits encoded by related gene family members. Alternative splicing results in multiple transcript variants. |
|
Applications: |
ELISA, IHC |
|
Name of antibody: |
GRIK5 |
|
Immunogen: |
Synthetic peptide of human GRIK5 |
|
Full name: |
glutamate ionotropic receptor kainate type subunit 5 |
|
Synonyms: |
KA2; EAA2; GRIK2; GluK5 |
|
SwissProt: |
Q16478 |
|
ELISA Recommended dilution: |
5000-10000 |
|
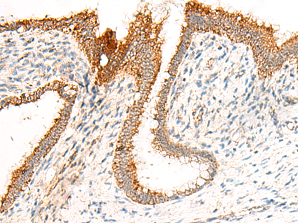
IHC positive control: |
Human tonsil and Human cervical cancer |
|
IHC Recommend dilution: |
30-150 |

購物車
幫助
021-54845833/15800441009
