|
Background: |
The protein encoded by this gene belongs to the SMAD, a family of proteins similar to the gene products of the Drosophila gene 'mothers against decapentaplegic' (Mad) and the C. elegans gene Sma. SMAD proteins are signal transducers and transcriptional modulators that mediate multiple signaling pathways. This protein functions as a transcriptional modulator activated by transforming growth factor-beta and is thought to play a role in the regulation of carcinogenesis. |
|
Applications: |
ELISA, IHC |
|
Name of antibody: |
SMAD3 |
|
Immunogen: |
Synthetic peptide of human SMAD3 |
|
Full name: |
SMAD family member 3 |
|
Synonyms: |
LDS3; LDS1C; MADH3; JV15-2; HSPC193; HsT17436 |
|
SwissProt: |
P84022 |
|
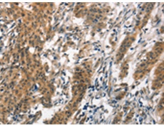
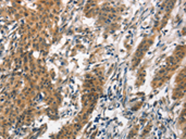
IHC positive control: |
Human gastric cancer and human thyroid cancer |
|
IHC Recommend dilution: |
25-100 |
購物車
幫助
021-54845833/15800441009
