|
Background: |
This gene encodes a member of the Smad family of signal transduction proteins. Smad proteins are phosphorylated and activated by transmembrane serine-threonine receptor kinases in response to TGF-beta signaling. The product of this gene forms homomeric complexes and heteromeric complexes with other activated Smad proteins, which then accumulate in the nucleus and regulate the transcription of target genes. This protein binds to DNA and recognizes an 8-bp palindromic sequence (GTCTAGAC) called the Smad-binding element (SBE). |
|
Applications: |
ELISA, WB, IHC |
|
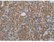
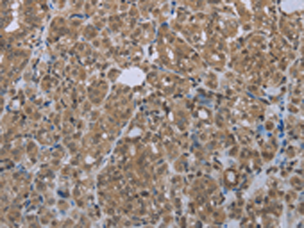
Name of antibody: |
SMAD4 |
|
Immunogen: |
Fusion protein of human SMAD4 |
|
Full name: |
SMAD family member 4 |
|
Synonyms: |
JIP; DPC4; MADH4; MYHRS |
|
SwissProt: |
Q13485 |
|
ELISA Recommended dilution: |
1000-2000 |
|
IHC positive control: |
Human thyroid cancer and human brain |
|
IHC Recommend dilution: |
25-100 |
|
WB Predicted band size: |
60 kDa |
|
WB Positive control: |
293T cells |
|
WB Recommended dilution: |
200-1000 |
購物車
幫助
021-54845833/15800441009
