|
Background: |
Members of the structural maintenance of chromosomes, or SMC, family (e.g., SMC1A; MIM 300040) are critical for mitotic chromosome condensation in frogs and for DNA repair in mammals. |
|
Applications: |
ELISA, IHC |
|
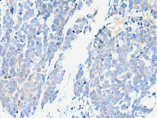
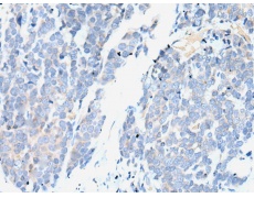
Name of antibody: |
SMC2 |
|
Immunogen: |
Synthetic peptide of human SMC2 |
|
Full name: |
structural maintenance of chromosomes 2 |
|
Synonyms: |
CAPE; CAP-E; SMC-2; SMC2L1 |
|
SwissProt: |
O95347 |
|
ELISA Recommended dilution: |
1000-2000 |
|
IHC positive control: |
Human thyroid cancer |
|
IHC Recommend dilution: |
10-50 |
購物車
幫助
021-54845833/15800441009
