|
Background: |
The protein encoded by this gene is a member of the STAT family of transcription factors. In response to cytokines and growth factors, STAT family members are phosphorylated by the receptor associated kinases, and then form homo- or heterodimers that translocate to the cell nucleus where they act as transcription activators. This protein is activated by, and mediates the responses of many cell ligands, such as IL2, IL3, IL7 GM-CSF, erythropoietin, thrombopoietin, and different growth hormones. Activation of this protein in myeloma and lymphoma associated with a TEL/JAK2 gene fusion is independent of cell stimulus and has been shown to be essential for the tumorigenesis. The mouse counterpart of this gene is found to induce the expression of BCL2L1/BCL-X(L), which suggests the antiapoptotic function of this gene in cells. |
|
Applications: |
WB, IHC |
|
Name of antibody: |
STAT5A (Phospho-Ser780) |
|
Immunogen: |
Synthetic peptide of human STAT5A (Phospho-Ser780) |
|
Full name: |
signal transducer and activator of transcription 5A (Phospho-Ser780) |
|
Synonyms: |
MGF; STAT5 |
|
SwissProt: |
P42229 |
|
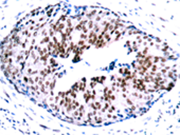
IHC positive control: |
Human breast carcinoma |
|
IHC Recommend dilution: |
50-100 |
|
WB Predicted band size: |
91 kDa |
|
WB Positive control: |
K562 cells treated with IL-4 |
|
WB Recommended dilution: |
500-1000 |

購(gòu)物車
幫助
021-54845833/15800441009
