|
Background: |
Ubiquitin carboxyl-terminal hydrolase 47 is an enzyme that in humans is encoded by the USP47 gene. Ubiquitin-specific protease that specifically deubiquitinates monoubiquitinated DNA polymerase beta (POLB), stabilizing POLB thereby playing a role in base-excision repair (BER). Acts as a regulator of cell growth and genome integrity. May also indirectly regulates CDC25A expression at a transcriptional level. |
|
Applications: |
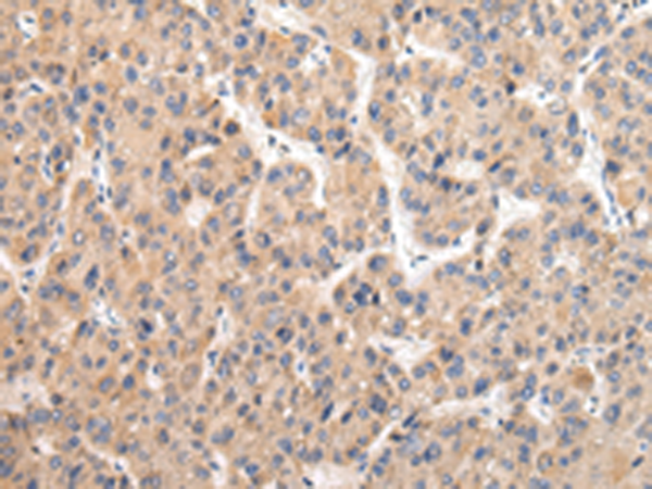
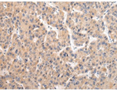
ELISA, IHC |
|
Name of antibody: |
USP47 |
|
Immunogen: |
Fusion protein of human USP47 |
|
Full name: |
ubiquitin specific peptidase 47 |
|
Synonyms: |
TRFP |
|
SwissProt: |
Q96K76 |
|
ELISA Recommended dilution: |
2000-5000 |
|
IHC positive control: |
Human liver cancer and human esophagus cancer |
|
IHC Recommend dilution: |
25-100 |

購物車
幫助
021-54845833/15800441009
