|
Background: |
The protein encoded by this gene is a member of the family of soluble N-ethylmaleimide-sensitive fusion protein-attachment protein receptors (SNAREs) that function in intracellular trafficking. This family member is involved in vesicular transport between endosomes and the trans-Golgi network. It is a vesicle-associated SNARE (v-SNARE) that interacts with target membrane SNAREs (t-SNAREs). Polymorphisms in this gene have been associated with binocular function, and also with susceptibility to colorectal and lung cancers. A recurrent rearrangement has been found between this gene and the transcription factor 7-like 2 (TCF7L2) gene in colorectal cancers. Alternative splicing results in multiple transcript variants. |
|
Applications: |
ELISA, WB, IHC |
|
Name of antibody: |
VTI1A |
|
Immunogen: |
Full length fusion protein |
|
Full name: |
vesicle transport through interaction with t-SNAREs 1A |
|
Synonyms: |
MMDS3; MVti1; VTI1RP2; Vti1-rp2 |
|
SwissProt: |
Q96AJ9 |
|
ELISA Recommended dilution: |
5000-10000 |
|
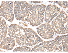
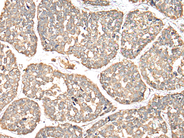
IHC positive control: |
Human esophagus cancer |
|
IHC Recommend dilution: |
25-100 |
|
WB Predicted band size: |
25 kDa |
|
WB Positive control: |
231,Jurkat,Hela and HEPG2 cell lysates |
|
WB Recommended dilution: |
200-1000 |

購物車
幫助
021-54845833/15800441009
