中文名稱:兔抗ATP5F1C多克隆抗體
|
Background: |
This gene encodes a subunit of mitochondrial ATP synthase. Mitochondrial ATP synthase catalyzes ATP synthesis, utilizing an electrochemical gradient of protons across the inner membrane during oxidative phosphorylation. ATP synthase is composed of two linked multi-subunit complexes: the soluble catalytic core, F1, and the membrane-spanning component, Fo, comprising the proton channel. The catalytic portion of mitochondrial ATP synthase consists of 5 different subunits (alpha, beta, gamma, delta, and epsilon) assembled with a stoichiometry of 3 alpha, 3 beta, and a single representative of the other 3. The proton channel consists of three main subunits (a, b, c). This gene encodes the gamma subunit of the catalytic core. Alternatively spliced transcript variants encoding different isoforms have been identified. This gene also has a pseudogene on chromosome 14. [provided by RefSeq, Jul 2008] |
|
Applications: |
ELISA, WB, IHC |
|
Name of antibody: |
ATP5F1C |
|
Immunogen: |
Fusion protein of human ATP5F1C |
|
Full name: |
ATP synthase F1 subunit gamma |
|
Synonyms: |
ATP5C; ATP5C1; ATP5CL1 |
|
SwissProt: |
P36542 |
|
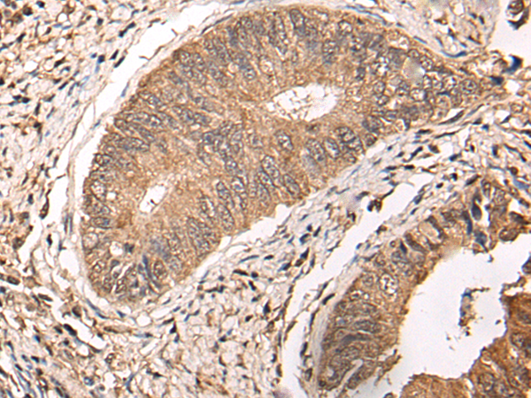
IHC positive control: |
Human colorectal cancer |
|
IHC Recommend dilution: |
25-100 |
|
WB Predicted band size: |
33 kDa |
|
WB Positive control: |
Hela,HEPG2,Jurkat and A549 cell,Human heart tissue lysates |
|
WB Recommended dilution: |
500-2000 |


購(gòu)物車
幫助
021-54845833/15800441009
