中文名稱(chēng):兔抗BST1多克隆抗體
|
Background: |
Bone marrow stromal cell antigen-1 is a stromal cell line-derived glycosylphosphatidylinositol-anchored molecule that facilitates pre-B-cell growth. The deduced amino acid sequence exhibits 33% similarity with CD38. BST1 expression is enhanced in bone marrow stromal cell lines derived from patients with rheumatoid arthritis. The polyclonal B-cell abnormalities in rheumatoid arthritis may be, at least in part, attributed to BST1 overexpression in the stromal cell population. |
|
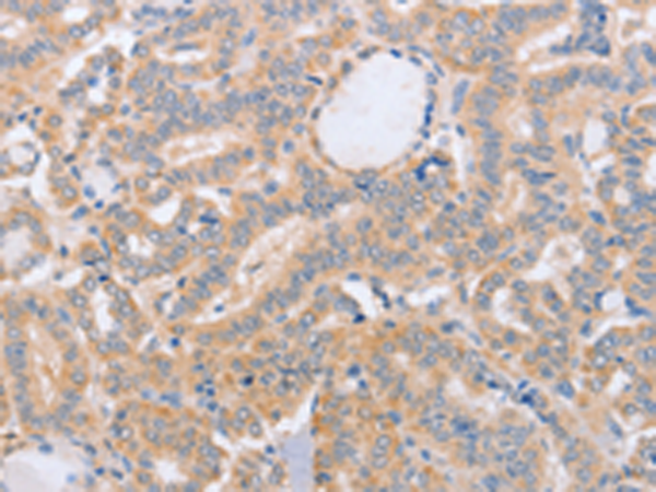
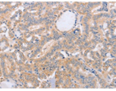
Applications: |
ELISA, IHC |
|
Name of antibody: |
BST1 |
|
Immunogen: |
Synthetic peptide of human BST1 |
|
Full name: |
bone marrow stromal cell antigen 1 |
|
Synonyms: |
CD157 |
|
SwissProt: |
Q10588 |
|
ELISA Recommended dilution: |
1000-5000 |
|
IHC positive control: |
Human thyroid cancer and Human brain |
|
IHC Recommend dilution: |
25-100 |

購(gòu)物車(chē)
幫助
021-54845833/15800441009
