中文名稱:兔抗C10orf2多克隆抗體
|
Background: |
This gene encodes a hexameric DNA helicase which unwinds short stretches of double-stranded DNA in the 5' to 3' direction and, along with mitochondrial single-stranded DNA binding protein and mtDNA polymerase gamma, is thought to play a key role in mtDNA replication. The protein localizes to the mitochondrial matrix and mitochondrial nucleoids. Mutations in this gene cause infantile onset spinocerebellar ataxia (IOSCA) and progressive external ophthalmoplegia (PEO) and are also associated with several mitochondrial depletion syndromes. |
|
Applications: |
WB, IHC |
|
Name of antibody: |
C10orf2 |
|
Immunogen: |
Fusion protein of human C10orf2 |
|
Full name: |
chromosome 10 open reading frame 2 |
|
Synonyms: |
PEO; PEO1; SCA8; ATXN8; IOSCA; PEOA3; SANDO; TWINL; MTDPS7; PRLTS5 |
|
SwissProt: |
Q96RR1 |
|
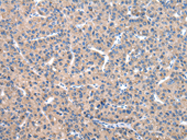
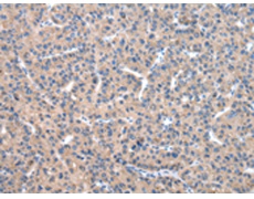
IHC positive control: |
Human liver cancer and Human esophagus cancer |
|
IHC Recommend dilution: |
25-100 |
|
WB Predicted band size: |
77 kDa |
|
WB Positive control: |
K562, hela and Jurkat cell |
|
WB Recommended dilution: |
500-2000 |


購物車
幫助
021-54845833/15800441009
