中文名稱:兔抗ZNF106多克隆抗體
|
Background: |
Zinc-finger proteins contain DNA-binding domains and have a wide variety of functions, most of which encompass some form of transcriptional activation or repression. The majority of zinc-finger proteins contain a Krüppel-type DNA binding domain and a KRAB domain, which is thought to interact with KAP1, thereby recruiting histone modifying proteins. ZFP106 (Zinc finger protein 106), also known as zinc finger protein 474, is a 1883 amino acid human homolog of the mouse Zfp106 protein and is a member of the Krüppel C2H2-type zinc-finger family. Localized to the nucleus, ZFP106 contains two C2H2-type zinc fingers and is thought to be involved in transcriptional regulation. |
|
Applications: |
ELISA, IHC |
|
Name of antibody: |
ZNF106 |
|
Immunogen: |
Synthetic peptide of human ZNF106 |
|
Full name: |
zinc finger protein 106 |
|
Synonyms: |
SH3BP3; ZFP106; ZNF474 |
|
SwissProt: |
Q9H2Y7 |
|
ELISA Recommended dilution: |
2000-5000 |
|
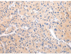
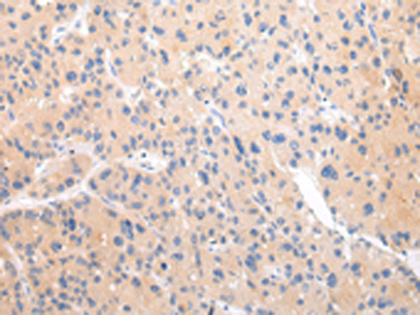
IHC positive control: |
Human liver cancer and Human brain |
|
IHC Recommend dilution: |
20-100 |
購物車
幫助
021-54845833/15800441009
