|
Background: |
The cysteinyl leukotrienes LTC4, LTD4, and LTE4 are important mediators of human bronchial asthma. Pharmacologic studies have determined that cysteinyl leukotrienes activate at least 2 receptors, the protein encoded by this gene and CYSLTR1. This encoded receptor is a member of the superfamily of G protein-coupled receptors. It seems to play a major role in endocrine and cardiovascular systems. |
|
Applications: |
ELISA, WB, IHC |
|
Name of antibody: |
CYSLTR2 |
|
Immunogen: |
Synthetic peptide of human CYSLTR2 |
|
Full name: |
cysteinyl leukotriene receptor 2 |
|
Synonyms: |
HG57; CYSLT2; GPCR21; HPN321; CYSLT2R; KPG_011; hGPCR21; PSEC0146 |
|
SwissProt: |
Q9NS75 |
|
ELISA Recommended dilution: |
5000-10000 |
|
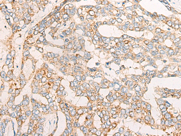
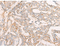
IHC positive control: |
Human gastric cancer and Human liver cancer |
|
IHC Recommend dilution: |
20-100 |
|
WB Predicted band size: |
40 kDa |
|
WB Positive control: |
Mouse adrenal gland tissue lysate |
|
WB Recommended dilution: |
200-1000 |


購(gòu)物車
幫助
021-54845833/15800441009
