|
Background: |
Acts as component of the EARP complex that is involved in endocytic recycling. The EARP complex associates with Rab4-positive endosomes and promotes recycling of internalized transferrin receptor (TFRC) to the plasma membrane. Within the EARP complex, required to tether the complex to recycling endosomes. Not involved in retrograde transport from early and late endosomes to the trans-Golgi network (TGN). |
|
Applications: |
ELISA, IHC |
|
Name of antibody: |
VPS50 |
|
Immunogen: |
Synthetic peptide of human VPS50 |
|
Full name: |
VPS50, EARP/GARPII complex subunit |
|
Synonyms: |
VPS54L; CCDC132 |
|
SwissProt: |
Q96JG6 |
|
ELISA Recommended dilution: |
5000-10000 |
|
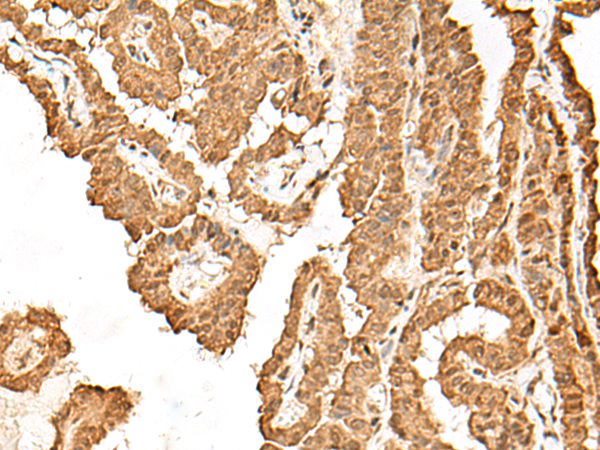
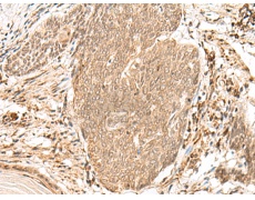
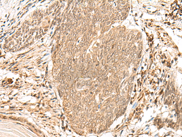
IHC positive control: |
Human esophagus cancer and Human thyroid cancer |
|
IHC Recommend dilution: |
50-300 |

購物車
幫助
021-54845833/15800441009
