中文名稱:兔抗CA7多克隆抗體
|
Background: |
Carbonic anhydrases are a large family of zinc metalloenzymes that catalyze the reversible hydration of carbon dioxide. They participate in a variety of biological processes, including respiration, calcification, acid-base balance, bone resorption, and the formation of aqueous humor, cerebrospinal fluid, saliva, and gastric acid. They show extensive diversity in tissue distribution and in their subcellular localization. The cytosolic protein encoded by this gene is predominantly expressed in the salivary glands. Alternative splicing in the coding region results in multiple transcript variants encoding different isoforms. |
|
Applications: |
ELISA, WB, IHC |
|
Name of antibody: |
CA7 |
|
Immunogen: |
Full length fusion protein |
|
Full name: |
carbonic anhydrase 7 |
|
Synonyms: |
CAVII |
|
SwissProt: |
P43166 |
|
ELISA Recommended dilution: |
5000-10000 |
|
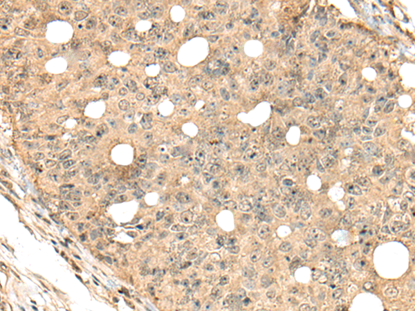
IHC positive control: |
Human liver cancer;Human colorectal cancer |
|
IHC Recommend dilution: |
40-200 |
|
WB Predicted band size: |
30 kDa |
|
WB Positive control: |
RAW264.7 cell,Mouse kidney tissue and Mouse heart tissue lysates |
|
WB Recommended dilution: |
500-2000 |


購物車
幫助
021-54845833/15800441009
