中文名稱: 兔抗FAIM多克隆抗體
|
Background: |
The protein encoded by this gene protects against death receptor-triggered apoptosis and regulates B-cell signaling and differentiation. Several transcript variants encoding different isoforms have been found for this gene |
|
Applications: |
ELISA, WB, IHC |
|
Name of antibody: |
FAIM |
|
Immunogen: |
Synthetic peptide of human FAIM |
|
Full name: |
Fas apoptotic inhibitory molecule |
|
Synonyms: |
FAIM1 |
|
SwissProt: |
Q9NVQ4 |
|
ELISA Recommended dilution: |
1000-2000 |
|
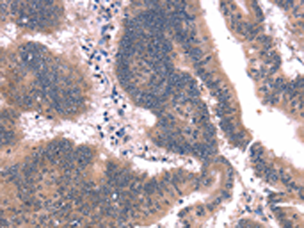
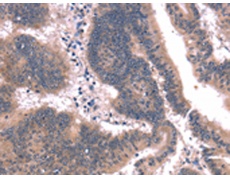
IHC positive control: |
Human colon cancer and Human cervical cancer |
|
IHC Recommend dilution: |
25-100 |
|
WB Predicted band size: |
20 kDa |
|
WB Positive control: |
Raji cells |
|
WB Recommended dilution: |
200-1000 |

購物車
幫助
021-54845833/15800441009
